跟腱病变的超声诊断
跟腱病变的超声诊断
来源:即时超声
跟腱(Achilles tendon)又称阿基里斯腱,是人体最粗大最强壮的肌腱。荷马史诗中英雄阿基里斯的母亲忒提斯为了让儿子炼成“金钟罩”,在他刚出生时就将其倒提着浸泡入冥河,遗憾的是,被母亲捏住的脚后跟却露在水外,成为全身留下的惟一“死穴”。在特洛伊城的围攻中,他被毒箭射中了足跟,这成为了他的死因,后来人们就用阿基里斯之踵用来形容某人最脆弱的地方。

跟腱位于踝关节后方,长约12-15cm,起自小腿中1/3,止于跟骨后结节重点。是小腿肌肉力量传导至足部的最主要的解剖结构。由腓肠肌腱膜和深面的比目鱼肌肌腱互相融合而成,无腱鞘,附着在跟骨后方,在附着处深面为跟骨后滑囊,浅面为跟腱后滑囊,跟腱深面和踇长屈肌腱间为Kager脂肪垫充填。它的主要功能是屈小腿和跖屈踝关节,也是人体做后蹬、起跳等动作时的主要受力器官。


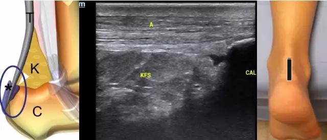
图1:正常跟腱解剖(T跟腱,C跟骨,K Kager脂肪垫,白箭头 跟骨后滑囊,*跟腱后滑囊)
一、正常跟腱超声
检查时,患者俯卧,足部垫高或悬于床外,从近端的肌-腱移行处开始扫查,直至末端跟骨附着处,扫查时注意长短轴结合,厚度一般在短轴时测量,约5-6mm。跟骨后滑囊正常可有少量积液,一般不超过3mm。


图2 正常跟腱长轴(上)及短轴(下)切面。

图3 正常跟腱长轴切面,SO 比目鱼肌,FHL 踇短屈肌,A 跟腱,KFSKagar脂肪垫,CAL 跟骨

图4 跟骨后滑囊 A 跟腱,C跟骨,K Kagar脂肪垫

图5跟腱短轴宽景成像
二、跟腱病变


1、跟腱撕裂
距离附着点约2-6cm处为相对乏血供区,容易发生撕裂,触诊病变部位可感觉到张力缺陷。

图6 跟腱部分撕裂长轴宽景成像(可见跟腱塌陷,连续性中断)

图7 跟腱部分撕裂短轴成像(显示跟腱为部分性中断)

图8 双侧对比(图右 部分撕裂,图左 正常)
2、跟腱病
分腱周炎和跟腱炎,急性期跟腱肿胀,活动受限,慢性期疼痛减缓,有疼痛,运动后减缓。腱周炎超声表现为跟腱周围肿胀增厚,回声减低,可出现积液,但跟腱实质回声正常。而跟腱炎常表现为跟腱肿胀增厚,回声减低,实质不均匀,可累及部分或全部腱体,多继发跟骨后滑囊炎。

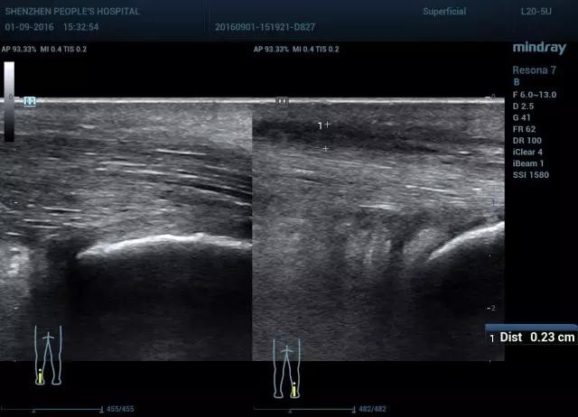
图9 腱周炎长轴双侧对比(图左 正常,图右 腱周增厚,回声减低,跟腱走行正常)

图10 腱周炎短轴双侧对比(图左 正常,图右 腱周增厚,回声减低,跟腱走行正常)

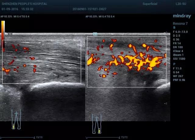
图11 腱周炎长轴血流双侧对比(图左 正常,图右 血流丰富)

图12 腱周炎短轴血流显示

图13 腱周炎剪切波弹性成像(图左 质控图,图右 剪切波成像)

图14 腱周炎应变弹性成像

图15 跟腱病(长轴) 跟腱增厚,回声减低,伴钙化
【版权声明】本平台属公益学习平台,转载系出于传递更多学习信息之目的,且已标明作者和出处,如不希望被传播的老师可与我们联系删除
标签:
